Zahnverfärbungen entstehen meist durch Konsumgewohnheiten
Abgesehen vom langsamen Alterungsprozess im Innern des Zahnes treten auch Verfärbungen an der Oberfläche schleichend über die Jahre auf. Verursacht werden diese äußeren Verfärbungen meistens durch Kaffee, Tee, Tabak, Fruchtsäfte, Rotwein, Medikamente, und vieles mehr. Regelmäßiger Konsum über eine längere Zeit führt dann dazu, dass Farbstoffe zunehmend auch in die Oberfläche des Zahnschmelzes eindringen. Einmal eingelagerte Verfärbungen können dann leider nicht mehr selber durch das normale Zähneputzen entfernt werden.

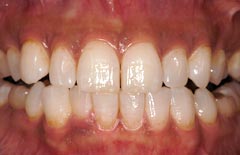
Durch häufigen Konsum von Kaffee und Cola-Getränken zeigen die sehr hellen Zähne nun am Zahnfleischrand deutliche Verfärbungen und Einlagerungen im Zahnschmelz.

